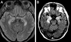
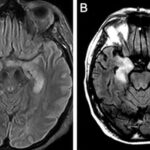
A Rare Case of Autoimmune Encephalitis: Diagnosis and Management August 25, 2024 No Comments Autoimmune encephalitis (AE) is a complex and often challenging condition to diagnose and manage. It involves inflammation of the brain caused by
test3 edited August 10, 2024 No Comments test3 edited Presentation Presentation & History: hello Clinical Examination: hello Investigations : hello yes
Responses